
7 orvosi tévhit, amit még az orvosok is elhisznek
A közhiedelem tele van mítoszokkal és féligazságokkal. A legtöbb ártalmatlan, de ha már az orvosok is elkezdenek hinni bennük, az aggodalomra ad okot. A British Medical Journal eheti számában a kutatók megvizsgáltak néhány gyakori tévhitet.
"Felzaklatott minket, mert tudtuk, hogy sok orvos is hisz ezekben, és betegeik felé és továbbítják azokat.” – mondza Dr. Aaron Carroll, az Indianai Orvosi Egyetem gyermekgyógyász adjunktusa. „A média is gyakran hivatkozik ezekre a nézetekre.”
Ezennel felsoroljuk őket, hogy tájékoztathassák kezelőorvosukat:
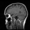
Hiedelem: Agyunknak csak 10 %-át használjuk.
Tény: Az orvosok és a humoristák előszeretettel emlegetik ezt a mondatot. Az idézetet időnként helytelenül Albert Einsteinnek tulajdonítják. Az MRI, PET és más képalkotó eljárások azonban azt mutatják, hogy az agynak nincsenek szunnyadó területei. Az egyes idegsejtek vizsgálata sem mutatott inaktív területeket. Az agysejtek vegyületeket előállító folyamatainak anyagcsere-vizsgálatai sem találtak olyan részeket, melyek nem működtek. A hiedelem valószínűleg a múlt század korai időszakából származik, amikor a különféle ügynökök arról próbálták meggyőzni az embereket, hogy még nem érték el a teljesítőképességük határát - állítja Carroll. Még azt a tényt sem veszi figyelembe, hogy a többi szervünk teljes hatásfokkal működik.
Hiedelem: Naponta legalább nyolc pohár vizet kell meginni.
Tény: "Nincs rá orvosi bizonyíték, hogy szükségünk van ekkora mennyiségre.” – mondta Dr. Rachel Vreeman, az egyetem gyermekgyógyászati kutatója, a cikk társszerzője. Vreeman szerint a hiedelem 1945-re vezethető vissza. A Táplálkozási Tanács javaslata volt a napi nyolc pohár víznek megfelelő folyadék fogyasztása. Az évek során a folyadékból víz lett, de ebbe a mennyiségbe beleszámít a gyümölcsök és zöldségek víztartalma, továbbá a kávé és más folyadékok is.
Hiedelem: A köröm és a szőrzet is növekszik a halál után.
Tény: A legtöbb orvos megkérdőjelezi azt, amit eredetileg igaznak hittek. Végül rájöttek, hogy ez lehetetlen. Valójában a következő történik: „Ahogy a bőr kiszárad, visszahúzódik.” – mondta Vreeman. „A köröm sokkal feltűnőbbé válik, ahogy a bőr kiszárad. Ugyanez érvényes a szőrzetre is, habár kevésbé látványos. Ahogy a bőr visszahúzódik, a szőrszálak látványosabbá válnak, esetleg kissé felállnak.”
Hiedelem: A borotvált szőr gyorsabban nő vissza, erősebb és sötétebb lesz.
Tény: Egy 1928-as klinikai kísérlet összehasonlította a szőr növekedését borotvált és nem borotvált felületeken. A borotválás helyén visszanövő szőr nem volt sem sötétebb, sem vastagabb, és nem is nőtt gyorsabban. Frissebb kutatások is megerősítették ezt a megfigyelést. A borotválás után a szőrszál tompa heggyel bukkan elő a bőrfelszínen, magyarázza Carroll és Vreeman. A tompa hegy idővel elkopik, így vastagabbnak tűnik, mint amilyen valójában. Sötétebbnek is tűnhet, mivel a napfény még nem szívta ki.
Hiedelem: Ha félhomályban olvasunk, romlik a látásunk.
Tény: A kutatók nem találtak bizonyítékot arra, hogy a félhomályban olvasás tartós látáskárosodást okozna. Megerőltetheti a szemet, esetleg átmenetileg csökken a látás élessége, de némi pihentetés után ez megszűnik.
Hiedelem: A pulykahús álmosít.
Tény: Ezt még maga Carroll és Vreeman is elhitte, amíg el nem kezdtek ebben az irányban vizsgálódni. A pulykában található triptofan nevű vegyület álmosító hatásáról ismert. Azonban a pulyka sem tartalmaz belőle többet, mint a csirke vagy a marha. A félreértésre az adhat okot, hogy az ünnepi étkezések során rengeteg más étellel és alkohollal együtt fogyasztják, ami valóban álmosságot okozhat.
Hiedelem: Veszélyes a kórházakban mobil telefont használni.
Tény: Nem tudunk olyan halálesetről, amit ezzel kapcsolatba lehetne hozni. A kevésbé súlyos interferenciák a kórházi műszerekkel valószínűleg inkább csak mendemondák. Egy tanulmány során felfedezték, hogy a mobiltelefonok a kórházi felszerelések mindössze 4 %-ának működését zavarják, de csak akkor, ha kb. 1 méteren belül helyezkednek el egymástól. Ebben az évben pedig 300 vizsgálatot végeztek 75 kórházi helyiségben, és semmilyen interferenciát nem találtak. Sőt, ha az orvosok mobiltelefont használnak, a fejlettebb kommunikáció következtében kevesebb hibát vétenek.
"A fentiekkel kapcsolatban az orvosok eleinte kételkednek.” – mondta Vreeman. „De miután óvatosan rávezetjük őket a tudományos bizonyítékokra, készséggel elfogadják, hogy a hiedelmeknek nincs valóságalapjuk.”
Termékajánló: